Здоровье

Новые правила формирования больничных в России с 2025 года
С 1 сентября 2025 года россияне столкнутся с изменениями в учете больничных листов.

Диспансеризация в Костромской области: забота о здоровье ветеранов и жителей региона
В этом году более 129 тысяч костромичей прошли медицинское обследование.

Всемирный день борьбы с СПИДом: важность информирования
1 декабря - день, когда мы напоминаем о необходимости борьбы с эпидемией ВИЧ и СПИДа.
Заболеваемость ОРВИ растет, но новогодние праздники под контролем
Специалисты Роспотребнадзора призывают к осторожности в преддверии праздников.

Образовательная акция по борьбе со СПИДом в Костроме
Студенты техникума активно участвуют в мероприятии, приуроченном к Всемирному дню борьбы со СПИДом.

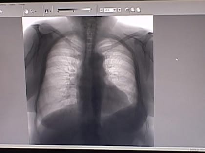
Новый аппарат УЗИ улучшит диагностику туберкулеза в Костроме
Современное оборудование поможет врачам более эффективно лечить пациентов.

Новое оборудование для диагностики туберкулеза в Костроме
Медики отмечают значительное улучшение визуализации и диагностики заболеваний.
Костромская область обновила оборудование для диагностики туберкулеза
Новый аппарат УЗИ поможет улучшить качество лечения больных туберкулезом.
Совершенствование онкологической помощи в Костромской области
Эксперты отмечают значительные достижения в области высокотехнологичной медицины.
Обновление процедурного кабинета в Красносельской районной больнице
Новый кабинет дневного стационара радушно встречает пациентов.